살인 바이러스 EEEV 매개 모기 늘어날까
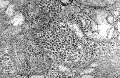
미국 플로리다주 보건 당국에 따르면 동부형 말 뇌막염(EEE) 바이러스를 매개로 하는 모기가 올해도 발견됐다고 한다. 플로리다 오렌지카운티 보건국이 공개한 권고문에 ...
이메일로 만나보는 스타트업 가이드
투자, 행사, 정부사업 등 스타트업 생태계 소식을 이메일로 편하게 받아보세요.
‘생활 속 기술 레시피’ ‘현재와 미래를 이어주는 기술 레시피’를 소개합니다. 따끈따끈한 기술이 어떻게 세상을 바꿔갈지 알려주는 세상을 바꿀 레시피가 여기 있습니다.
미국 플로리다주 보건 당국에 따르면 동부형 말 뇌막염(EEE) 바이러스를 매개로 하는 모기가 올해도 발견됐다고 한다. 플로리다 오렌지카운티 보건국이 공개한 권고문에 ...
알리바바 주가가 홍콩증권거래소 상장 첫날 오전 7.7%나 올랐다. 시장이 열린 직후 주가는 상장 가격 176홍콩달러에서 189.50달러로 오른 것. 176홍콩달러는 11월 ...
유튜브 채널 콜린퍼즈(colinfurze)가 팀 대전형 액션 슈팅 게임인 오버워치에 등장하는 캐릭터가 이용하는 자주식 폭발 아이템인 RIP 타이어를 직접 만들었다. 전기톱으로 ...
하버드대학 연구팀이 75년에 걸친 연구를 통해 사람을 행복하게 하는 건 뭔지 알아본 결과 중요한 건 결국 돈보다 사회적 관계가 많다는 ...
구글이 입력 중인 텍스트를 예상해 다음 문장을 제안해주는 스마트 콤포즈(Smart Compose) 기능을 구글 문서 도구에 추가했다. G스위트 사용자를 위한 베타 ...
누타입 F1 무선 기계식 키보드(NuType F1 Wireless Mechanical Keyboard)는 맥북에 올려놓고 쓸 수 있는 기계식 키보드다. 맥북 같은 노트북을 이용하면 ...
지구 온난화 대책의 필요성에 대해선 이미 오래 전부터 경고가 나왔다. 그런데 기상학자들이 금세기 동안 수십억 명에 이르는 인구가 거주하는 지역에서 ...
지금까지 달을 개발하면 막대한 혜택이 있을 것으로 여겨지고 있지만 인류가 본격적으로 달에 진출하려면 월면 기지가 필수다. 하지만 지구에서 건설 자재를 ...
현재 인간에 가장 가까운 휴머노이드 로봇은 운동 성능으론 보스턴다이내믹스의 아틀라스 정도를 들 수 있다. 하지만 아틀라스는 커뮤니케이션을 취할 목적으로 개발한 ...
최근 연구에 따르면 은하계는 뱉어내는 것보다 더 많은 가스를 흡입하고 있다고 한다. 은하수는 대량 이온화 가스, 플라즈마를 흡입하고 이를 쏟아낸다. ...
투자, 행사, 정부사업 등 스타트업 생태계 소식을 이메일로 편하게 받아보세요.
스타트업레시피는 최초 회원 가입 또는 서비스를 이용할 때 이용자로부터 아래와 같은 개인 정보를 수집하고 있습니다.
이용자는 본 개인정보 수집·이용 동의서에 따른 동의를 하면 ‘필요한 최소한의 정보 외에 개인정보’ 수집·이용에 동의하지 아니할 권리가 있습니다.
개인정보 취급 및 처리에 대한 상세한 사항은 사이트 하단에 공개한 ‘개인정보 처리방침’을 참조하십시오. 다만 본 동의서 내용과 상충되는 부분은 본 동의서의 내용이 우선합니다.
1. 수집하는 개인정보의 항목 및 이용목적
1) 수집항목 및 목적 (필수)
□ 뉴스레터 수신: 이메일
※ 귀하께서는 필수항목 수집·이용에 대한 동의를 거부하실 수 있으나, 이는 서비스 제공에 필수적으로 수집해야 하는 정보이므로 동의를 거부하실 경우 뉴스레터 구독을 이용하실 수 없습니다.
2. 개인정보의 보유 및 이용기간
회원의 개인정보는 뉴스레터 수신을 거부하면 자동으로 파기됩니다.
다만, 스타트업레시피는 관련법령의 규정에 의해 개인정보를 보유할 필요가 있는 경우, 해당 법령에서 정한 바에 의하여 아래와 같이 개인정보를 보유할 수 있습니다.
– 계약 또는 청약철회 등에 관련 기록 : 5년
– 대금결제 및 재화 등의 공급에 관한 기록 : 5년
– 소비자의 불만 또는 분쟁처리에 관한 기록 : 3년
– 신용정보의 수집/처리 및 이용 등에 관한 기록 : 3년
– 표시/광고에 관한 기록 : 6개월
– 이용자의 인터넷 등 로그기록/ 이용자의 접속지 추적자료 : 3개월
– 그 외의 통신사실 확인 자료 : 12개월