레이저 안티드론 시스템 도입한 美공군
방산업체인 레이시온이 10월 초 안티 드론 시스템을 탑재한 시스템을 미 공군에 납품했다고 밝혔다. 이 안티드론 시스템은 고출력 레이더 시스템을 갖춰 ...
이메일로 만나보는 스타트업 가이드
투자, 행사, 정부사업 등 스타트업 생태계 소식을 이메일로 편하게 받아보세요.
‘생활 속 기술 레시피’ ‘현재와 미래를 이어주는 기술 레시피’를 소개합니다. 따끈따끈한 기술이 어떻게 세상을 바꿔갈지 알려주는 세상을 바꿀 레시피가 여기 있습니다.
방산업체인 레이시온이 10월 초 안티 드론 시스템을 탑재한 시스템을 미 공군에 납품했다고 밝혔다. 이 안티드론 시스템은 고출력 레이더 시스템을 갖춰 ...
ALS, 일명 루게릭 병으로 불리는 근위축성 측색 경화증은 신경 변성 질환으로 근육 힘이 없어지는 것이다. 이렇게 되면 환자는 머리를 자력으로 ...
어도비가 포토샵(Photoshop)에서 인공지능을 기반으로 한 새로운 선택 도구 미리보기 동영상을 공개했다. 새로운 자동 선택 도구를 이용하면 피사체를 어도비 ‘Sensei AI’ ...
최근 국제전기통신연합 ITU에 인공위성 3만개에 대한 전파 사용 신청을 한 스페이스X 그윈 숏웰(Gwynne Shotwell)이 위성을 이용한 광대역 인터넷 서비스 스타링크(Starlink)를 ...
케임브리지대학 연구팀이 태양과 물에서 연료를 사용할 수 있는 가스를 합성할 수 있는 인공 잎(Artificial leaf)을 개발했다고 발표했다. 네이처 머티어리얼(Nature Materials)에 ...
트레이스에이아이(Traces AI)는 컴퓨터비전 스타트업으로 얼굴 인식 데이터에 의존하지 않은 채 카메라로 사람을 추적하는 데 초점을 맞춘다. 얼굴 인식 데이터는 프라이버시 ...
구글이 냄새의 원인이 되는 분자 구조를 분석해 냄새를 예측하는 AI를 개발했다고 발표했다. 인간의 후각은 콧구멍 점막에 있는 400종류 후각 수용체가 ...
아마존은 사람 없는 편의점인 아마존 고(Amazon Go)를 지난 몇 년간 확대해왔다. 하지만 아마존이 여기에 머물지 않고 이런 레지리스 시스템을 공항이나 ...
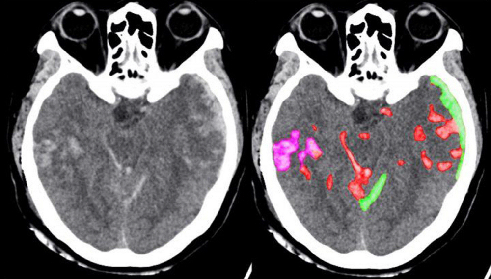
AI를 이용한 의료 영상 분석 처리는 이미 암 발견 등에 도움이 된다고 보고되고 있다. 반면 뇌출혈은 출혈량이 적더라도 심각한 문제가 ...
최근 눈길을 끄는 루머 중 하나는 모토로라가 대표 브랜드인 레이저(Razr)를 다시 내놓는다는 것이다. 트위터리안 에반 블래스(@evleaks)가 최근 레이저의 공식 홍보 ...
투자, 행사, 정부사업 등 스타트업 생태계 소식을 이메일로 편하게 받아보세요.
스타트업레시피는 최초 회원 가입 또는 서비스를 이용할 때 이용자로부터 아래와 같은 개인 정보를 수집하고 있습니다.
이용자는 본 개인정보 수집·이용 동의서에 따른 동의를 하면 ‘필요한 최소한의 정보 외에 개인정보’ 수집·이용에 동의하지 아니할 권리가 있습니다.
개인정보 취급 및 처리에 대한 상세한 사항은 사이트 하단에 공개한 ‘개인정보 처리방침’을 참조하십시오. 다만 본 동의서 내용과 상충되는 부분은 본 동의서의 내용이 우선합니다.
1. 수집하는 개인정보의 항목 및 이용목적
1) 수집항목 및 목적 (필수)
□ 뉴스레터 수신: 이메일
※ 귀하께서는 필수항목 수집·이용에 대한 동의를 거부하실 수 있으나, 이는 서비스 제공에 필수적으로 수집해야 하는 정보이므로 동의를 거부하실 경우 뉴스레터 구독을 이용하실 수 없습니다.
2. 개인정보의 보유 및 이용기간
회원의 개인정보는 뉴스레터 수신을 거부하면 자동으로 파기됩니다.
다만, 스타트업레시피는 관련법령의 규정에 의해 개인정보를 보유할 필요가 있는 경우, 해당 법령에서 정한 바에 의하여 아래와 같이 개인정보를 보유할 수 있습니다.
– 계약 또는 청약철회 등에 관련 기록 : 5년
– 대금결제 및 재화 등의 공급에 관한 기록 : 5년
– 소비자의 불만 또는 분쟁처리에 관한 기록 : 3년
– 신용정보의 수집/처리 및 이용 등에 관한 기록 : 3년
– 표시/광고에 관한 기록 : 6개월
– 이용자의 인터넷 등 로그기록/ 이용자의 접속지 추적자료 : 3개월
– 그 외의 통신사실 확인 자료 : 12개월